February 21, 2018
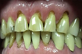
When dental problems have overtaken your smile, confidence, and your oral health, you need a skilled, experienced team to get you back on track.
That's what you'll find at J Michael Krischke DDS!
With restorative dentistry in our Crown Point, IN dental office, you'll have a healthy, beautiful smile again.
Just like this patient in today's before and after photo!
Are you our next patient success story? Find out by calling the office of J Michael Krischke DDS at 219-641-3422. You can also contact us online to request an appointment.
