I had traditional braces and he just like every month when I came in just made sure that everything was going good and changed my wires. And originally I had a tooth in the middle of my mouth and then I … it’s now in the front and everything. It was really smooth. Like I thought it was going to be very crazy because my teeth were awful, but he actually made it really smooth and it went a little bit longer than we thought but that’s because things came up that we didn’t know were going to come up and like I had baby teeth that had never fallen out so he had to pull those.
And so I think it just was like it went longer but they came out better because it went longer. In the beginning I didn’t want to take pictures. My dad had printed a picture on a blanket for my mouth. I was like, “No, that’s not going to work.” I don’t like smile and now like I’m always smiling and I’m a lot more happier and confident like in school or in public.
I would recommend here because they are just always so nice and everything they do comes out fantastic. You won’t regret coming because they’re … they tell you if something’s going to hurt and usually nine times out of 10 it doesn’t hurt. You don’t feel anything. If you’re looking for somewhere where you’re going to be relaxed, calm and everybody’s nice, this is a really nice place to come to.
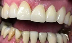
Feel Inspired When You Browse Our Crown Point Smile Gallery
We hesitate to use a cliché to describe our patients, but we think a picture is worth a thousand words when it comes to showing how we’ve improved some of their smiles! We’ve straightened teeth, whitened teeth, repaired teeth, and replaced missing teeth in our office. Check out some of the beautiful results in our Crown Point smile gallery.
If our gallery inspires you to address imperfections in your own smile, call J Michael Krischke DDS at 219-641-3422 to make an appointment. Or schedule online. Ask about our Membership Plan! Find us at 700 North Main Street, near the Crown Point Community Library.
Before
After
Before
After
Before
After
Before
After
Before
After
Before
After
Before
After
